Lexikon
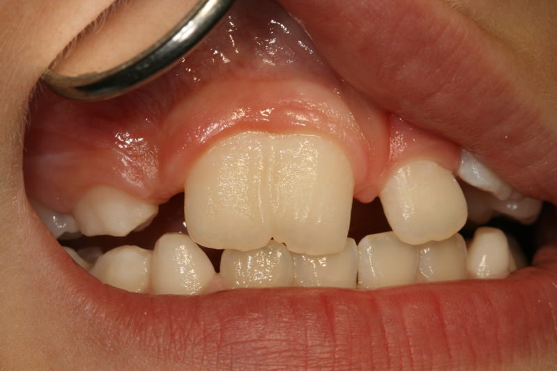
Doppelzahn
Bei einem Doppelzahn kommt es während der Zahnentwicklung zu einem Verschmelzen von 2 Zahnkeimen, so dass sich statt 2 getrennten Zähnen ein „zusammengewachsener“ Zahn entwickelt, der in der Mundhöhle steht. Aus ästhetischer Sicht kann die Zahnentfernung notwendig sein.


