Was darf Zahnersatz (auf eigenen Zähnen) kosten? Übersicht der Preise.
Teleskopprothese auf Implantaten: die abnehmbare Brücke
Was sie leistet, was sie kostet
Bei einer Teleskopprothese auf Implantaten werden auf Zahnimplantaten Teleskopkronen oder teleskopierende Abutments eingesetzt, mit Hilfe derer ein herausnehmbarer Anteil (Prothese) mit ersetzten Zähnen befestigt wird. Der Halt ist so gut, dass man sogar von einer Teleskopbrücken sprechen kann, wenn genügend Implantate verwendet werden. Es ist die teuerste Form des Zahnersatzes auf Implantaten.

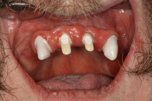
Teleskopprothese auf Implantaten: parallele Innenteleskopkronen (hier als Abutments), die in die Implantate eingeschraubt werden.
Die Innenteleskop-Kronen (meist speziell präparierte Abutments) müssen dafür exakt parallel zueinander stehen, dass eine sogenannte gemeinsame Einschubrichtung entsteht. Nur so können die Außenteleskop-Kronen mit der Prothese passgenau über die Innenteleskope in die Endposition gleiten. Wenn nur ein Pfeiler nicht genau in „Reih und Glied“ steht, verkanntet die Prothese.

Aussenteleskopkronen, Prothesensättel mit ersetzten Zähne
Guter Halt der Teleskopprothese auf Implantaten
Der Halt selbst entwickelt sich durch Reibungshaftung (Friktion) zwischen den Innen- und Außenkronen, aus denen sich die Bezeichnung Doppel- bzw. Teleskopkronen ableitet.
Teleskope auf Implantaten: anspruchsvolle zahntechnische Leistung
Für eine perfektes Sitz ist höchste Präzision von Zahnarzt und Zahntechniker nötig. Durch die spielfreie Passung und den parallelen Einschubweg zwischen den Innen- und Außenkronen wird eine hervorragende Stabilität ohne Wackeln und Kippen erzielt. Man spricht daher gerne auch von einer abnehmbaren Brücke statt von einer Prothese.
Teleskope funktionieren auch in Kombination mit Zähnen (Hybridprothese, Pfeilervermehrung) oder -natürlich- als rein zahngetragene Teleskopprothese.

Teleskopkronen/teleskopierende-Abutments aus Gold

Aussenteleskope, Blick in die Prothese

Implantat-Teleskopprothese auf Gipsmodell
Vorteile des teleskopierenden Zahnersatzes auf Implantaten:
- sicherer, kippelfreier Zahnersatz
- risikoarme Platzierung der Implantate steuerbar z.B. nur in knochenreichen Bereichen
- gute Implantatpflege durch isoliert stehende Implantate
- gutes Mundgefühl möglich, da wie abnehmbare Brücke herstellbar
- Reparaturen des aufgesetzten Zahnersatzes möglich
- meist problemlose Erweiterbarkeit bei Verlust eines Implantats
- ästhetischer Ausgleich bei starkem Kieferschwund durch zahnfleischfarbene Prothesensättel möglich
- mit noch vorhandenen Zähnen kombinierbar (Hybrid-Teleskopprothese)
Nachteile von Doppelkronen auf Implantaten
- zahntechnisch anspruchsvollste Aufgabe
- sehr hohe Gesamtkosten durch
– hohe zahntechnische Kosten (gegebenenfalls zus. Kosten durch hohen Goldverbrauch)
– hohes zahnärztliches Honorar seit der neuen Gebührenordnung - spannungsfreier Sitz wichtig
- ästhetisch nicht unproblematisch, da Doppelkronen grösser dimensioniert sind
- klare Zahn-zu-Implantat-Beziehung: exakte Positionierung der Implantate notwendig

Innenteleksope bzw. teleskopierende Abutments können auch Zirkonoxid gefertigt werden.
Deckprothesen können Kieferschwund besser ausgleichen
Wenn sich der Kieferknochen infolge von Parodontitis und/oder lang zurückliegendem Zahnverlust stark abgebaut hat (Atrophie), kann eine zahnfleischfarbende Abdeckung des Kieferkamms (Deckprothese, Prothesensättel) den Verlust optisch ausgleichen. Das gelingt mit einer festen Brücke nicht. Hier müssen dann lange Zähne den Bereich zwischen Kieferkamm und Bissebene überbrücken.
Was kostet eine Implantatteleskopprothese?
Teleskope sind die mit Abstand teuerste Versorgungsform. Man muss hier mit über 3000€ je Pfeiler rechnen, wenn man hochwertiges Material (Gold oder Zirkon) wählt. Dazu kommt noch die verbindende Prothese mit Kunststoffzähne für etwa 900-1000€. Wenn die fehlenden Zähne als Brückenglieder gestaltet werden, also aus Voll- oder Metallkeramik bestehen, dann schlägt das pro Brückenglied noch mal mit gut 400-500€ zu Buche.
| Leistung | Preis |
|---|---|
| je Implantat-Teleskop | 3100-3900€ |
| Prothesensättel | ca. 950€ |
| Alternativ je Brückenglied | 400-500€ |
| Gesamt auf 4 Implantaten | ab 13.500€ |
| Gesamt auf 6 Implantaten | ab 18.000€ |
| Kassenanteil (Vollprothese) im Oberkiefer: 522-652€ (Härtefall 870€), im Unterkiefer 560-700€ (Härtefall 933€). |
Alternativen
- Stegprothese auf Implantaten
- Kugelkopfanker
- Locatoren®
- Magnetverankerungen
- festsitzende Brücke auf Implantaten, speziell auch das
- All-on-4®-Konzept. Ohne Implantate bleibt die klassische
- Vollprothese
implantate.com-Fazit
Wenn auch mit der Teleskopprothese ein hervorragender Halt und ein sicheres Kaugefühl erzielt werden kann, und viele andere Vorteile auf der Habenseite stehen, so muss man die enormen Kosten als gewichtiges Kontra gegenüberstellen. Schon bei 4 Implantaten können Dimensionen erreicht werden, die denen einer festen Brücke auf 6 Implantaten entsprechen. Hier ist dann ein sorgsames Abwägen des Therapiekonzepts zu empfehlen.
IMPLANTAT-SPEZIALISTEN IN IHRER NÄHE
Frank Bartsch; Die Praxis in der Teleskoptechnik, teamwork media GmbH; 31. März 2007
Koeck B., T: Praxis der Zahnheilkunde Band 6, Teilprohesen, Urban & Fischer Verlag/Elsevier GmbH; Elsevier, München (2010)
M. Kern, R. J. Kohal, A Mehl und P Pospiech, J. R. Strub, M. Kern, J. C. Türp und S. Witkowski, Curriculum Prothetik: Set Band 1-3 , Quintessenz Verlag (Broschiert – 23. November 2010)
Verma R1, Joda T, Brägger U, Wittneben JG., A systematic review of the clinical performance of tooth-retained and implant-retained double crown prostheses with a follow-up of 3 years. J Prosthodont. 2013 Jan;22(1):2-12.
Eitner S1, Schlegel A, Emeka N, Holst S, Will J, Hamel J., Comparing bar and double-crown attachments in implant-retained prosthetic reconstruction: a follow-up investigation. Clin Oral Implants Res. 2008 May;19(5):530-7
Krennmair G1, Krainhöfner M, Waldenberger O, Piehslinger E., Dental implants as strategic supplementary abutments for implant-tooth-supported telescopic crown-retained maxillary dentures: a retrospective follow-up study for up to 9 years. Int J Prosthodont. 2007 Nov-Dec;20(6):617-22


Gibt es auch Zahnersatz-Alternativen die besser sind als Implantate?






