Zeichen einer Parodontose

Woran Sie Zahnfleisch-Probleme erkennen

Parodontitis verläuft schmerzfrei – und genau das macht sie so gefährlich. Anders als bei Karies, die irgendwann wehtut, gibt es bei einer Zahnbetterkrankung keinen eingebauten Alarm. Die meisten Betroffenen bemerken erst etwas, wenn Zähne locker werden. Dann ist bereits viel Knochen verloren.

Das Problem: Die frühen Warnsignale sind so unspektakulär, dass sie ignoriert werden. Zahnfleischbluten beim Putzen? „Das liegt an der neuen Zahnbürste.“ Mundgeruch? „Wird schon wieder.“ Dabei sind genau diese Symptome der Moment, in dem eine Behandlung noch einfach und die Schäden noch reversibel wären. Eine solche Entzündung betrifft den ganzen Körpern mit erheblichen Risiken für die Allgemeingesundheit. Es geht nicht nur um Ihre Zähne!

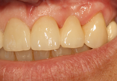
Gesundes Zahnfleisch: straff, blas-rosa
Gesundes Zahnfleisch: straff, blas-rosa
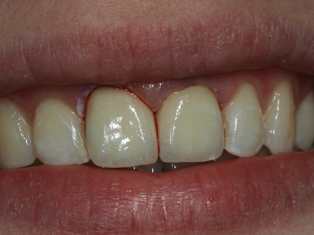
Entzündetes Zahnfleisch
Entzündetes Zahnfleisch, dunkel gerötet, schnell blutend

Das wichtigste Warnsignal: Zahnfleischbluten

Gesundes Zahnfleisch blutet nicht. Weder beim Zähneputzen noch beim Essen eines Apfels. Wenn Ihr Zahnfleisch blutet, ist es entzündet – so einfach ist das.

Die meisten Menschen halten gelegentliches Zahnfleischbluten für normal. Das ist es nicht. Sie würden ja auch nicht akzeptieren, dass Ihre Haut beim Händewaschen blutet. Zahnfleischbluten ist das früheste und zuverlässigste Warnsignal für eine beginnende Zahnbetterkrankung.

Sonderfall Raucher: Das fehlende Warnsignal

Bei Rauchern ist das Zahnfleisch schlechter durchblutet – Nikotin verengt die Blutgefäße. Dadurch fehlt oft das Frühwarnsignal Zahnfleischbluten, obwohl eine Parodontitis längst im Gange sein kann. Raucher bemerken eine Parodontose deshalb häufig erst in fortgeschrittenen Stadien. Das ist einer der Gründe, warum Raucher sechsmal häufiger schwere Verläufe haben.

Frühe Zahnfleischsymptome: gut zu bekämpfen

Im Frühstadium beschränkt sich die Entzündung auf das Zahnfleisch (Gingivitis). Der Zahnhalteapparat – Knochen und Haltefasern – ist noch intakt. Das bedeutet: Alle Veränderungen sind vollständig reversibel. Werden die bakteriellen Beläge entfernt, heilt das Zahnfleisch aus.

Symptom Was Sie bemerken Was dahintersteckt
Zahnfleischbluten Blut beim Putzen oder an der Zahnseide Entzündungsreaktion auf Bakterien
Rötung Zahnfleisch dunkelrot statt blassrosa Verstärkte Durchblutung durch Entzündung
Schwellung Zahnfleisch wirkt aufgequollen, wulstig Flüssigkeitsansammlung im entzündeten Gewebe
Mundgeruch Unangenehmer Geruch trotz Zähneputzen Stoffwechselprodukte der Bakterien

Was Sie jetzt tun sollten: Mundhygiene verbessern, Zahnzwischenräume reinigen, zeitnah zur Kontrolle. In diesem Stadium reicht oft eine professionelle Zahnreinigung und konsequente häusliche Pflege.

Ist es bei einer fortgeschrittenen Parodontitis nicht zu spät für eine Behandlung?

Bleibt die Gingivitis unbehandelt, wandern die Bakterien in die Tiefe. Die Entzündung greift auf den Zahnhalteapparat über – aus der Zahnfleischentzündung wird eine Parodontitis. Jetzt beginnt der Körper, Knochen und Haltefasern abzubauen. Es entstehen Zahnfleischtaschen.

Dieser Prozess ist zwar nicht mehr umkehrbar, denn verlorener Knochen wächst nicht von selbst nach. Die richtige Behandlung kann aber den Prozess stoppen und den Zustand stabilisieren – Zähne können meist auch langfristig erhalten werden.

Zahnfleischrückgang – die „langen Zähne“

Das Zahnfleisch zieht sich zurück, die Zähne wirken optisch länger. Was Sie sehen, sind freiliegende Zahnhälse oder sogar Teile der Zahnwurzel. Die Zähne sind lang sichtbar, da sich sowohl Knochen als auch das Zahnfleisch zurükcgezogen hat.

„Schwarze Dreiecke“ – was ist das?

Im gesunden Zustand füllt das Zahnfleisch den Zwischenraum zwischen zwei Zähnen vollständig aus – die sogenannte Interdentalpapille reicht bis zum Kontaktpunkt. Bei Parodontose bildet sich dieses Gewebe zurück. Es entstehen dreieckige Lücken zwischen den Zähnen, die dunkel erscheinen. Viele Patienten stören sich ästhetisch daran. Medizinisch sind sie ein Zeichen für fortgeschrittenen Gewebeverlust.

Knochenabbau Parodontose
Knochenabbau und Zahnfleischrückgang durch Parodontose

Empfindliche Zahnhälse durch Zahnfleischrückgang

Freiliegende Zahnhälse reagieren empfindlich auf Kälte, Wärme, Süßes oder Saures. Der Zahnschmelz reicht nur bis zur Krone – an der Wurzel liegt das empfindlichere Dentin frei, durchzogen von feinen Kanälchen, die Reize direkt zum Zahnnerv leiten.

Größere Zahnzwischenräume

Die Zähne scheinen auseinanderzuwandern. Tatsächlich fehlt das Gewebe, das im gesunden Zahnzwischenraum vorhanden war. Ein Auffächern der Zähne durch Lockerungen ist auch leichter möglich. Speisereste bleiben leichter hängen, was die Reinigungsmöglichkeiten weiter verschlechtern kann.

Symptom Was Sie bemerken Was dahintersteckt
Zahnfleischrückgang Zähne wirken länger, Zahnhälse sichtbar Knochen- und Gewebeabbau
Schwarze Dreiecke Dunkle Lücken zwischen den Zähnen Rückgang der Interdentalpapillen
Empfindliche Zahnhälse Schmerz bei kalt/warm/süß/sauer Freiliegendes Dentin
Größere Zwischenräume Essen bleibt hängen, Zähne „wandern“ Verlust des stützenden Gewebes

Was Sie jetzt tun sollten: Zeitnah zum Zahnarzt. Eine systematische Parodontitistherapie ist notwendig, um weiteren Knochenabbau zu stoppen und Zahnverlust zu verhindern.

Späte Symptome: Schwere Parodontitis

In diesem Stadium ist bereits so viel Knochen verloren, dass die Zähne ihren Halt verlieren. Jetzt treten Symptome auf, die sich nicht mehr ignorieren lassen.

Lockere Zähne

Die Zähne wackeln beim Kauen oder lassen sich mit der Zunge bewegen. Das Ausmaß der Lockerung korreliert mit dem Knochenverlust – je weniger Knochen, desto lockerer der Zahn. Stark gelockerte Zähne lassen sich oft nicht mehr retten.

Zahnwanderung

Zähne verschieben sich, kippen oder drehen sich. Die Frontzähne wandern häufig nach vorne und auseinander – es entstehen Lücken, die vorher nicht da waren. Der Biss verändert sich.

Eiter am Zahnfleischrand

Eitriges Sekret aus den Zahnfleischtaschen zeigt eine akute bakterielle Infektion an. Manchmal entleert sich der Eiter spontan, manchmal sammelt er sich zu einem Abszess.

Schmerzen meist nur bei einem Parodontalabszess

Eine schmerzhafte Schwellung am Zahnfleisch, prall und druckempfindlich. Der Abszess ist eine akute Verschlechterung und muss sofort behandelt werden.

Parodontitis tut erst weh, wenn es fast zu spät ist. Schmerzen treten auf bei akuten Abszessen, beim Kauen auf stark gelockerte Zähne oder wenn freiliegende Wurzeln gereizt werden. Der schleichende Knochenabbau selbst ist schmerzfrei – das macht die Erkrankung so heimtückisch.

Was Sie jetzt tun sollten: Sofort zum Zahnarzt. Bei Abszess oder starker Schwellung nicht abwarten. Auch stark geschädigte Zähne lassen sich manchmal noch erhalten – aber die Zeit drängt.

Entzündung des Zahnbetts? Erhöhte Entzündungswerte im Blutbild

Parodontitis bleibt nicht auf den Mund beschränkt. Bei einer unbehandelten Zahnbetterkrankung gelangen Bakterien und Entzündungsmediatoren über das stark durchblutete Taschenepithel in die Blutbahn – eine sogenannte Bakteriämie. Der Körper reagiert mit einer systemischen Entzündungsreaktion, die sich im Blutbild nachweisen lässt.

Typische Veränderungen bei schwerer Parodontitis:

Parameter Was er zeigt Bei Parodontitis
CRP (C-reaktives Protein) Allgemeiner Entzündungsmarker Häufig erhöht (> 3 mg/l)
Leukozyten Weiße Blutkörperchen Können erhöht sein
IL-6 (Interleukin-6) Entzündungsbotenstoff Erhöht
Fibrinogen Gerinnungsfaktor, Akute-Phase-Protein Erhöht

Ein dauerhaft erhöhter CRP-Wert ohne erkennbare Ursache sollte den Hausarzt an eine mögliche Parodontitis denken lassen – besonders wenn der Patient über 40 ist und lange nicht beim Zahnarzt war.

Warum das wichtig ist: Erhöhte Entzündungsmarker sind ein eigenständiger Risikofaktor für Herz-Kreislauf-Erkrankungen. Nach erfolgreicher Parodontitistherapie sinken CRP, IL-6 und Fibrinogen messbar ab – ein Hinweis darauf, dass die Behandlung auch der Allgemeingesundheit nützt.

Selbsttest: Prüfen Sie Ihr Zahnfleisch

Sie können erste Anzeichen einer Parodontose selbst erkennen. Stellen Sie sich vor einen Spiegel mit guter Beleuchtung und prüfen Sie:

Farbe: Gesundes Zahnfleisch ist blassrosa und matt. Entzündetes Zahnfleisch ist dunkelrot und glänzt.

Form: Gesundes Zahnfleisch liegt straff am Zahn an und läuft spitz zu den Zahnzwischenräumen aus. Entzündetes Zahnfleisch ist aufgequollen und wulstig.

Festigkeit: Gesundes Zahnfleisch ist fest. Entzündetes Zahnfleisch gibt auf Druck nach und blutet leicht.

Zahnfleischrand: Liegt das Zahnfleisch überall auf gleicher Höhe? Sind Zahnhälse sichtbar? Gibt es „schwarze Dreiecke“ zwischen den Zähnen?

Mundgeruch: Fragen Sie eine Vertrauensperson oder lecken Sie über Ihr Handgelenk, lassen Sie es trocknen und riechen Sie daran.

Wann muss ich meinen Zahnfleischproblemen zum Zahnarzt?

Symptom Dringlichkeit
Gelegentliches Zahnfleischbluten Nächste reguläre Kontrolle, Mundhygiene verbessern
Regelmäßiges Zahnfleischbluten, Rötung, Schwellung Zeitnah Termin vereinbaren
Zahnfleischrückgang, empfindliche Zahnhälse Zeitnah Termin vereinbaren
Lockere Zähne, Zahnwanderung Bald Termin vereinbaren
Eiter, Abszess, starke Schwellung Sofort – notfalls zahnärztlicher Notdienst

Warum tut eine Parodontitis eigentlich nicht weh?

Das ist die Frage, die sich viele Patienten stellen, wenn sie die Diagnose erhalten. Die Antwort liegt in der Art des Gewebeabbaus.

Bei Karies greifen Bakterien den Zahnschmelz an und arbeiten sich zum Zahnnerv vor. Irgendwann ist der Nerv gereizt – und Sie haben Zahnschmerzen. Ein klares Signal.

Bei Parodontitis läuft es anders. Die Entzündung zerstört das Gewebe rund um den Zahn – Zahnfleisch, Haltefasern, Knochen. Aber der Zahnnerv selbst wird nicht direkt angegriffen. Der Knochen baut sich schleichend ab, Millimeter für Millimeter, über Jahre. Dieser Prozess ist schmerzfrei.

Schmerzen entstehen erst, wenn:

  • Ein akuter Abszess entsteht
  • Freiliegende Zahnhälse gereizt werden
  • Ein stark gelockerter Zahn beim Kauen überlastet wird
  • Die Entzündung auf den Zahnnerv übergreift (Paro-Endo-Läsion)

Deshalb ist Parodontitis so gefährlich: Der Körper warnt Sie nicht. Wenn Sie Schmerzen haben, ist meist schon erheblicher Schaden entstanden.

Verschiedenen Verlaufsformen bekannt

Chronische Parodontitis

Die häufigste Form. Sie entwickelt sich langsam über Jahre bis Jahrzehnte. Die Symptome nehmen schleichend zu. Betroffen sind meist Menschen über 40.

Aggressive Verlaufsformen

Seltener, aber gefährlicher. Der Knochenabbau verläuft schneller und kann bereits Jugendliche und junge Erwachsene treffen. Die Symptome sind ausgeprägter: stärkeres Zahnfleischbluten, schnellerer Zahnfleischrückgang, frühzeitige Zahnlockerung und auch allgemein Krankheitszeichen sind möglich.. Oft ist eine familiäre Häufung zu beobachten.

implantate.com-Fazit:

Parodontitis warnt nicht. Kein Schmerz, kein Alarm – nur stille Zerstörung über Jahre. Das einzige Frühwarnsignal ist Zahnfleischbluten, und genau das wird von den meisten Menschen ignoriert.

Die gute Nachricht: Im frühen Stadium ist alles noch heilbar. Wer bei Zahnfleischbluten handelt, kann die Erkrankung stoppen, bevor sie Schaden anrichtet. Wer wartet, bis Zähne locker werden, hat bereits unwiederbringlich Knochen verloren.

IMPLANTAT-SPEZIALISTEN IN IHRER NÄHE

Implantologen mit Preisgarantie
Erweiterte Suche

Institut der Deutschen Zahnärzte (IDZ): Sechste Deutsche Mundgesundheitsstudie (DMS 6). Köln, 2025.

Tonnetti MS, Greenwell H, Kornman KS: Staging and grading of periodontitis: Framework and proposal of a new classification and case definition. J Clin Periodontol 2018;45 Suppl 20:S149–S161.

Lang NP, Lindhe J: Clinical Periodontology and Implant Dentistry. 6th ed. Wiley-Blackwell, 2015.

The American Academy of Periodontology: Glossary of Periodontal Terms. 2001.

Bergström J: Tobacco smoking and chronic destructive periodontal disease. Odontology 2004;92(1):1–8.

Nociti FH Jr, Casati MZ, Duarte PM: Current perspective of the impact of smoking on the progression and treatment of periodontitis. Periodontol 2000 2015;67(1):187–210.

DG PARO.: S3-Leitlinie Behandlung von Parodontitis Stadium I–III. AWMF-Register Nr. 083-043. 2020/2021.

D’Aiuto F, Parkar M, Andreou G et al.: Periodontitis and systemic inflammation: control of the local infection is associated with a reduction in serum inflammatory markers. J Dent Res 2004;83(2):156–160.

Loos BG: Systemic markers of inflammation in periodontitis. J Periodontol 2005;76(11 Suppl):2106–2115.

Paraskevas S, Huizinga JD, Loos BG: A systematic review and meta-analyses on C-reactive protein in relation to periodontitis. J Clin Periodontol 2008;35(4):277–290.

Tonetti MS, D’Aiuto F, Nibali L et al.: Treatment of periodontitis and endothelial function. N Engl J Med 2007;356(9):911–920.

Letzte Aktualisierung am Mittwoch, 28. Januar 2026