Zahnfleischtaschen: was die Taschentiefen in Millimetern bedeuten
„Sie haben Taschen.“ Drei Worte beim Zahnarzt, die Fragen aufwerfen. Wie schlimm ist das? Was passiert jetzt? Und: Kann das wieder heilen?
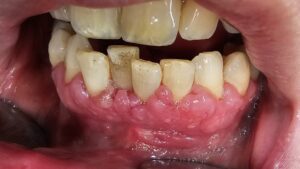
Zahnfleischtaschen sind kein eigenständiges Krankheitsbild, sondern das zentrale Merkmal einer Parodontitis. Sie entstehen, wenn die Entzündung den Zahnhalteapparat erreicht und Gewebe zerstört wird, das den Zahn im Kiefer verankert. Die Tiefe dieser Taschen – gemessen in Millimetern – ist der wichtigste Einzelwert, an dem Zahnärzte den Schweregrad einer Parodontitis festmachen und die Behandlung planen.
Jeder Zahn hat eine schmale Furche zwischen Zahnfleisch und Zahnoberfläche – den Sulkus. Das ist normal und gesund. Bei gesundem Zahnfleisch ist dieser Sulkus 1 bis 3 Millimeter tief. Das Zahnfleisch liegt straff am Zahn an, das darunterliegende Gewebe – Fasern, Knochen, Wurzelhaut – ist intakt. Die Zahnbürste erreicht den Sulkus, der Speichel spült ihn, das Immunsystem kontrolliert die wenigen Bakterien, die sich dort aufhalten.
Eine Zahnfleischtasche ist etwas grundlegend anderes. Sie entsteht nicht, weil der Sulkus „tiefer wird“, sondern weil die Verankerung des Zahnfleischs am Zahn zerstört wird. Die Fasern, die das Zahnfleisch am Zahn festhalten, lösen sich auf. Der Knochen darunter wird abgebaut. Es entsteht ein pathologischer Raum zwischen Zahnwurzel und Zahnfleisch, den keine Zahnbürste der Welt mehr erreicht.
Ein Sulkus ist ein biologischer Abschluss. Eine Tasche ist eine Erkrankung.
Wie entsteht eine Zahnfleischtasche?
Die Taschenbildung beginnt dort, wo das Kapitel Zahnfleischbluten aufhört – bei der chronischen Entzündung des Zahnfleischs.
Bei einer Gingivitis ist die Entzündung auf das Weichgewebe beschränkt. Das Zahnfleisch ist gerötet und geschwollen, aber der Zahnhalteapparat – Knochen, Fasern, Wurzelhaut – bleibt unversehrt. Wird die Plaque entfernt, heilt alles folgenlos aus.
Der Übergang zur Parodontitis passiert, wenn die Entzündung in die Tiefe vordringt. Was dabei geschieht:
Das Saumepithel wandert. Am Boden des Sulkus sitzt das Saumepithel (Junctional Epithelium) – eine nur wenige Zellschichten dünne Verbindung zwischen Zahnfleisch und Zahnoberfläche. Es ist die biologische Abdichtung, die das Körperinnere von der Mundhöhle trennt. Wenn die Entzündung chronisch wird, löst sich diese Verbindung. Das Saumepithel wandert entlang der Wurzeloberfläche nach unten – weg von der Zahnkrone, in Richtung Wurzelspitze (Page & Schroeder 1976).
Kollagenfasern werden zerstört. Gleichzeitig bauen die Enzyme des Immunsystems – vor allem Matrix-Metalloproteinasen (MMPs) – die Kollagenfasern ab, die das Zahnfleisch am Wurzelzement verankern. Dieser Faserverlust ist der eigentliche Attachmentverlust: die irreversible Ablösung des Zahnfleischs vom Zahn.
Knochen wird resorbiert. Die Entzündungsbotenstoffe – insbesondere Interleukin-1, TNF-alpha und RANKL – aktivieren Osteoklasten, die den Alveolarknochen abbauen. Der Knochen, der den Zahn im Kiefer hält, schwindet. Zurück bleibt ein Defekt, in den Bakterien immer tiefer vordringen können.
Das Ergebnis: ein sich selbst verstärkender Kreislauf. Die Tasche wird tiefer, die Bakterienbesiedlung verschiebt sich in Richtung aggressiverer Spezies, die Entzündung wird chronisch aufrechterhalten – und die Zahnbürste kommt nicht mehr an den Ort des Geschehens.
Was die Taschentiefen-Zahlen bedeuten
Wenn der Zahnarzt die Parodontalsonde einsetzt und Zahlen diktiert, hören Patienten Werte wie „3, 4, 5, 7″. Was bedeuten diese Millimeter konkret?
1 bis 3 Millimeter: gesund. Das Zahnfleisch liegt straff am Zahn an, der Sulkus ist flach, kein Knochen ist verloren gegangen. Kein Handlungsbedarf – außer, die tägliche Mundhygiene beizubehalten.
4 Millimeter: die Grauzone. Hier beginnt es, behandlungsbedürftig zu werden. Eine 4-mm-Tasche kann bedeuten, dass der Knochenabbau gerade erst begonnen hat – oder dass das Zahnfleisch geschwollen ist und die Sondierungstiefe dadurch erhöht erscheint (→ Pseudotasche, siehe unten). Ob tatsächlich Knochen verloren gegangen ist, zeigt erst das Röntgenbild. In jedem Fall gilt: Eine 4-mm-Tasche ist ein Warnsignal, aber kein Grund zur Panik. Mit konsequenter Behandlung und guter Mundhygiene lassen sich die Werte in vielen Fällen wieder verbessern.
5 bis 6 Millimeter: moderate Parodontitis. Hier ist in der Regel bereits Knochen verloren gegangen. Die Tasche reicht tiefer als jede Zahnbürste, und auch Zahnseide oder Interdentalbürsten erreichen den Taschenboden nicht mehr. Diese Taschen müssen professionell behandelt werden – in der Regel durch subgingivale Reinigung der Wurzeloberflächen (Scaling and Root Planing). Die gute Nachricht: Bei konsequenter Therapie können Taschentiefen von 5 bis 6 Millimetern oft um 1 bis 2 Millimeter reduziert werden.
7 Millimeter und mehr: schwere Parodontitis. Hier ist der Knochenabbau deutlich fortgeschritten. Taschen dieser Tiefe sind mit geschlossener Behandlung allein häufig nicht ausreichend beherrschbar. Oft ist eine chirurgische Behandlung – eine sogenannte Lappen-OP – notwendig, um unter Sicht arbeiten zu können. Trotzdem: Auch bei tiefen Taschen ist der Zahn nicht verloren. Die Behandlung ist aufwendiger, die Prognose hängt stärker von Mitarbeit und Nachsorge ab – aber Zahnerhalt ist in vielen Fällen möglich.
Über 10 Millimeter: Die Tasche reicht bis in die Nähe der Wurzelspitze. Der Knochen ist massiv abgebaut, der Zahn ist in der Regel gelockert. Ob er noch gehalten werden kann, hängt von der Gesamtsituation ab – Knochenform, Entzündungsaktivität, Mitarbeit des Patienten. Eine ehrliche Prognose ist hier nur individuell möglich.
Der Zahnarzt misst nicht nur die Taschhentiefen
Die Sondierungstiefe ist der wichtigste klinische Parameter – aber sie steht nie allein. Zwei weitere Werte gehören dazu, um ein vollständiges Bild zu bekommen:
BOP – Bleeding on Probing (Blutung beim Sondieren). Wenn die Parodontalsonde in die Tasche eingeführt wird, achtet der Zahnarzt darauf, ob es blutet. Blutung ist ein Zeichen aktiver Entzündung. Eine tiefe Tasche ohne Blutung kann stabil sein – eine flache Tasche mit Blutung ist ein Warnsignal. BOP ist deshalb neben der Taschentiefe der zweite entscheidende Parameter für die Therapieplanung (→ Zahnfleischbluten).
Klinischer Attachmentverlust (CAL). Der Abstand von einer festen Referenzstelle am Zahn – der Schmelz-Zement-Grenze – bis zum Taschenboden. Dieser Wert zeigt den tatsächlichen Gesamtschaden, unabhängig davon, wo das Zahnfleisch gerade steht. Deshalb ist der Attachmentverlust aussagekräftiger als die Sondierungstiefe allein – besonders bei Patienten mit Zahnfleischrückgang.
PSI – der Schnelltest beim Zahnarzt
Viele Patienten kennen die Taschenmessung von der Routineuntersuchung: der sogenannte PSI (Parodontaler Screening Index). Er wird alle zwei Jahre von der Krankenkasse bezahlt und ist eine vereinfachte Messung – nicht an 4 Stellen pro Zahn, sondern pro Kiefersextant mit einer speziellen WHO-Sonde. Der PSI gibt einen Überblick: Codes 0 bis 2 bedeuten gesund bis leichte Gingivitis, Code 3 (Sondierungstiefe 3,5 bis 5,5 mm) ist der Graubereich, Code 4 (über 5,5 mm) zeigt eine behandlungsbedürftige Parodontitis an.
Wichtig zu verstehen: Der PSI ist ein Screening-Instrument – keine vollständige Diagnose. Bei Code 3 oder 4 folgt die ausführliche Messung an mindestens 4 Stellen pro Zahn: der Parodontalstatus, mit dem die eigentliche Behandlung beantragt wird.
Entscheidet die Taschentiefe über den Schweregrad der Parodontitis?
Es gibt Situationen, in denen der Millimeterwert ein falsches Bild zeichnet:
Zahnfleischrückgang (Rezession). Wenn sich das Zahnfleisch bereits zurückgezogen hat, kann die Sondierungstiefe relativ flach sein – obwohl der Knochen erheblich abgebaut ist. Der Gesamtschaden ist dann größer, als die Taschentiefe vermuten lässt. Deshalb messen Zahnärzte bei Parodontitis zusätzlich den klinischen Attachmentverlust (CAL) – den Abstand von der Schmelz-Zement-Grenze bis zum Taschenboden. Allerdings kann bei einer Rezession ohne Entzündungszeichen die Diagnose einer bzu behandelnden Parodontitis nicht gestekllt werde. Die Reezession ist ein Zeichen für eine abgelaufene Parodontitis.
Pseudotaschen. Eine erhöhte Sondierungstiefe muss nicht zwingend bedeuten, dass Knochen verloren gegangen ist. Wenn das Zahnfleisch angeschwollen oder verdickt ist – etwa durch eine akute Gingivitis, durch bestimmte Medikamente (siehe Tabelle unten) oder in der Schwangerschaft – kann die Sonde tiefer gleiten, obwohl die Verankerung am Zahn intakt ist. Man spricht dann von einer Pseudotasche oder auch Gingivahyperplasie. Die klinische Bedeutung ist erheblich: Eine Pseudotasche erfordert keine Parodontitisbehandlung, sondern die Behandlung der Ursache – bessere Mundhygiene, professionelle Zahnreinigung oder gegebenenfalls eine Anpassung der Medikation.
Raucher. Bei Rauchern kann die Sondierungstiefe die Schwere der Erkrankung unterschätzen. Nikotin verengt die Blutgefäße im Zahnfleisch (Buduneli & Scott 2018), das Gewebe ist weniger geschwollen, die Sonde gleitet weniger tief ein. Der Knochen kann bereits stärker abgebaut sein, als die Sondierungswerte nahelegen. Bei Rauchern sind Röntgenbefunde und Attachmentverlust die verlässlicheren Parameter – nicht die Taschentiefe allein (→ Das Raucher-Paradox).
Die Konsequenz: Ohne Röntgenbild keine verlässliche Diagnose. Die Sondierungstiefe sagt, wie tief die Sonde geht – nicht, wie viel Knochen tatsächlich noch vorhanden ist.
Echte Zahnfleischtasche oder Pseudotasche: entscheidend für die Behandlung
Diese Unterscheidung klingt akademisch, hat aber direkte Konsequenzen für die Behandlung:
| Echte Zahnfleischtasche | Pseudotasche | |
|---|---|---|
| Ursache | Attachmentverlust und Knochenabbau durch Parodontitis | Schwellung oder Verdickung des Zahnfleischs ohne Knochenabbau |
| Knochen | Abgebaut | Intakt |
| Reversibilität | Nur teilweise – verlorener Knochen regeneriert in der Regel nicht | Vollständig reversibel, wenn die Ursache beseitigt wird |
| Behandlung | Parodontitistherapie: subgingivale Reinigung, ggf. Chirurgie | Ursache behandeln: Mundhygiene, PZR, Medikamentenanpassung |
| Häufige Auslöser | Chronische bakterielle Infektion | Gingivitis, Schwangerschaft, Medikamente |
Medikamente, die Zahnfleischwucherungen (Gingivahyperplasie) verursachen können
Einige Medikamente können das Zahnfleisch so stark verdicken, dass Pseudotaschen entstehen – auch bei guter Mundhygiene (Agrawal 2015). Die wichtigsten:
| Wirkstoffgruppe | Wirkstoff (Handelsname) | Einsatzgebiet |
|---|---|---|
| Kalziumkanalblocker | Nifedipin (Adalat®), Amlodipin (Norvasc®) | Bluthochdruck, Angina pectoris |
| Immunsuppressiva | Ciclosporin (Sandimmun®) | Organtransplantation, Autoimmunerkrankungen |
| Antiepileptika | Phenytoin (Phenhydan®) | Epilepsie |
Die Zahnfleischwucherung (Gingivahyperplasie) tritt nicht bei jedem Patienten auf und ist dosisabhängig. Entscheidend: Die Mundhygiene beeinflusst das Ausmaß erheblich. Patienten, die diese Medikamente einnehmen und eine Verdickung des Zahnfleischs bemerken, sollten ihren Zahnarzt darauf ansprechen – nicht das Medikament eigenmächtig absetzen.
Der Kassenantrag: wie Taschentiefen zur Behandlung führen
Bevor eine Parodontitisbehandlung auf Kassenkosten beginnen kann, muss die Zahnarztpraxis einen Antrag bei Ihrer Krankenkasse stellen. Was viele Patienten nicht wissen: Die Grundlage dieses Antrags ist eine detaillierte Vermessung Ihrer Zahnfleischtaschen – der sogenannte Parodontalstatus.
Der Parodontalstatus: Ihr Gebiss in Zahlen
Der Parodontalstatus ist das zentrale Dokument der gesamten Behandlung. Er wird auf einem standardisierten Formular (Vordruck 5a und 5b) erfasst und enthält eine vollständige Bestandsaufnahme des parodontalen Zustands – Zahn für Zahn, Stelle für Stelle. Seit der neuen PAR-Richtlinie von 2021 umfasst die Befunderhebung (BEMA-Nr. 4) folgende Daten:
Die Sondierungstiefen werden an mindestens zwei, maximal sechs Stellen pro Zahn gemessen – jeweils auf der Außenseite (bukkal) und der Innenseite (lingual/palatinal), davon jeweils mesial (zur Zahnlücke hin, Richtung Mittellinie), zentral und distal (zur Zahnlücke hin, Richtung hinterer Bereich). Bei einem vollständigen Gebiss mit 28 Zähnen sind das bis zu 168 Messstellen. Die Werte werden in ganzen Millimetern eingetragen – bei Werten zwischen zwei Markierungen wird kaufmännisch gerundet. Das bedeutet: 3,5 mm wird zu 4 mm – und damit zur behandlungsbedürftigen Tasche.
Die Sondierungsblutung (BOP) wird an jeder Messstelle dokumentiert: Blutet es beim Sondieren, wird dies im Formular mit einem Sternchen hinter der Taschentiefe vermerkt. Die Blutung zeigt aktive Entzündung an und ist neben der Taschentiefe der zweite Schlüsselwert.
Zahnlockerungsgrade werden in vier Stufen dokumentiert – von Grad 0 (normale Beweglichkeit) bis Grad III (starke horizontale und vertikale Beweglichkeit). Seit der PAR-Richtlinie 2021 wird auch Grad 0 eingetragen, nicht nur die pathologischen Befunde.
Furkationsbefall wird bei mehrwurzeligen Zähnen (Backenzähne) erfasst – Grad I bis III, je nachdem wie weit der Knochenabbau in die Aufzweigung der Wurzeln vorgedrungen ist.
Der röntgenologische Knochenabbau wird in Prozent der Wurzellänge angegeben und ins Verhältnis zum Alter des Patienten gesetzt. Dieser sogenannte Knochenabbauindex (%/Alter) entscheidet darüber, ob die Erkrankung als langsam, moderat oder rasch fortschreitend eingestuft wird.
Staging und Grading: die Einstufung Ihrer Erkrankung
Auf Basis des Parodontalstatus ordnet der Zahnarzt Ihre Parodontitis nach dem international gültigen System ein:
Staging (Stadium I bis IV) beschreibt Schwere und Komplexität. Der Knochenabbau, die Taschentiefen und der Zahnverlust bestimmen das Stadium. Einzelne Komplexitätsfaktoren – etwa eine tiefe Tasche von 6 mm oder mehr an einem einzelnen Zahn – können das Stadium hochstufen.
Grading (Grad A, B oder C) beschreibt das Fortschrittstempo und das Risikoprofil. Der Knochenabbauindex, das Rauchverhalten und der Diabetes-Status (HbA1c-Wert) fließen ein. Der Grad hat direkte Konsequenzen: Er bestimmt, wie engmaschig die spätere Nachsorge (UPT) sein muss.
→ Mehr zum Schweregrad der Parodontitis
Wie werde ich Zahnfleischtasche auch ohne Parodontosebehandlung wieder los?
Die ehrliche Antwort: das kommt drauf an….
Die Tiefe der Zahnfleischtasche bestimmt, was Ihre Zahnbürste noch leisten kann und wo nur professionelle Hilfe weiterhilft.
Bis 3 mm: Der Sulkus ist mit guter Putztechnik und Interdentalpflege komplett reinigbar. Wenn Ihr Zahnarzt Ihnen sagt, alle Werte liegen bei 1 bis 3 – machen Sie weiter so.
4 mm: Die Grenze der häuslichen Reinigung ist erreicht. Interdentalbürsten und Einbüschelbürsten können helfen, den Rand der Tasche sauber zu halten – aber den Taschenboden erreichen sie nicht. Professionelle Zahnreinigung und konsequente häusliche Pflege können hier noch viel bewirken. Viele 4-mm-Taschen lassen sich durch Behandlung und verbesserte Mundhygiene wieder auf Normalwerte bringen.
5 bis 6 mm: Hier ist die Zahnbürste machtlos. Die Bakterien sitzen dort, wo kein Hilfsmittel hinkommt. Professionelle subgingivale Reinigung (Scaling and Root Planing) ist notwendig – und danach regelmäßige Nachsorge, damit die Taschen sich nicht wieder vertiefen. Was Sie selbst beitragen können: konsequente Mundhygiene an den erreichbaren Stellen, um die Nachbehandlung zu unterstützen.
7 mm und mehr: Eigeninitiative allein reicht hier nicht. Chirurgische Behandlung ist häufig notwendig. Ihre Rolle als Patient: Termine einhalten, Nachsorge wahrnehmen, Risikofaktoren reduzieren. Rauchen aufhören ist in diesem Stadium das Wirksamste, was Sie selbst tun können.
Gingivitis-Taschen: die Prognose
Eine große retrospektive Analyse mit über 16.000 Zähnen belegt, dass. moderate Taschen (4–5 mm) bei richtiger Parodontitistherapie: im Schnitt um gut 1 mm zurück,gingen tiefe Taschen (ab 6 mm) um knapp 2 mm.
Verlorener Knochen kommt in der Regel nicht zurück. Das Zahnfleisch kann sich an die Wurzeloberfläche wieder anlegen – aber der Alveolarknochen, der einmal abgebaut wurde, regeneriert ohne Weiteres nicht. Es gibt regenerative Verfahren (Emdogain, Membrantechnik), die unter bestimmten Voraussetzungen Knochenregeneration ermöglichen – aber das funktioniert nur bei bestimmten Defektformen und ist kein Standardverfahren.
Was „Heilung“ bei Parodontitis bedeutet, ist daher realistisch: Stabilisierung. Die Entzündung wird gestoppt, die Taschen werden flacher, der Knochenabbau kommt zum Stillstand. Aber der einmal verlorene Knochen bleibt in der Regel verloren. Je früher behandelt wird, desto mehr Knochen ist noch da – und desto besser die Langzeitprognose.
implantate.com-Fazit:
Taschen im Mund kleiden nicht. Sie sind meist Zeichen einer schwerwiegenden Entzündung, der Parodontitis, die den ganzen Körper erfasst.







