Zahnfleischentzündung: die unterschätzte Allgemeinerkrankung
Gingivitis: Statistisch normal – gesund keinesfalls
Blutet Ihr Zahnfleisch beim Putzen? Dann gehören Sie zur Mehrheit in der Bevölkerung: über 70 Prozent der Deutschen haben entzündetes Zahnfleisch. Gesundes Zahnfleisch ist also eher die Ausnahme.
Das führt zu einem gefährlichen Trugschluss: Was so viele haben, kann nicht schlimm sein. Doch statistisch häufig heißt nicht medizinisch harmlos. Auch Übergewicht und Bluthochdruck sind in Deutschland „normal“ – gesund sind sie trotzdem nicht.
Zahnfleischbluten zeigt eine aktive Entzündung – eine offene Wunde im Mund. Dass Millionen sie haben, macht sie nicht weniger behandlungsbedürftig. Und: Die Entzündung bleibt nicht im Mund. Sie erhöht messbar die Entzündungswerte im Blut, vergleichbar mit der noch bedrohlicheren Parodontitis – dieselben Werte, die bei Herzinfarkt, Schlaganfall und Diabetes eine Rolle spielen.
Was genau ist eigentlich eine Gingivitis?
Der Begriff kommt aus dem Lateinischen: Gingiva bedeutet Zahnfleisch, die Endung -itis steht für Entzündung. Bei einer Gingivitis ist ausschließlich das Zahnfleisch betroffen – der darunterliegende Kieferknochen und die Haltefasern der Zähne bleiben intakt. Das ist der entscheidende Unterschied zur Parodontitis, bei der auch der Zahnhalteapparat angegriffen wird.
Die neue Klassifikation der Deutschen Gesellschaft für Parodontologie (DG PARO) von 2018 unterscheidet:
Klinische Gesundheit: Weniger als 10 Prozent der Messstellen bluten bei der Untersuchung. Sondierungstiefe maximal 3 mm.
Lokalisierte Gingivitis: 10 bis 30 Prozent der Messstellen zeigen Blutung bei Sondierung.
Generalisierte Gingivitis: Mehr als 30 Prozent der Messstellen sind betroffen – dann ist der gesamte Mund entzündet.
Der wichtigste Unterschied zur Parodontitis: Gingivitis ist vollständig reversibel. Nach Beseitigung der Ursache heilt das Zahnfleisch komplett aus, ohne Narben oder bleibende Schäden zu hinterlassen. Das Zahnfleisch ist eines der wenigen Gewebe im Körper, das sich vollständig regenerieren kann – aber nur, wenn Sie rechtzeitig handeln.
Wie viele Menschen haben denn eine Zahnfleischentzündung?
Die Zahlen der Deutschen Mundgesundheitsstudien sprechen eine klare Sprache:
| Altersgruppe | Betroffene | Was das bedeutet |
|---|---|---|
| Kinder (12 Jahre) | 70 % | Schon 7 von 10 Kindern haben Zahnfleischprobleme |
| Erwachsene (35–44 Jahre) | 95 % | Nur 5 von 100 haben wirklich gesundes Zahnfleisch |
| Senioren (65–74 Jahre) | 99 % | Praktisch niemand bleibt verschont |
Diese Zahlen zeigen: Zahnfleischentzündung ist kein Problem einzelner Risikogruppen. Sie betrifft praktisch jeden – und damit auch Sie. Die historische Entwicklung ist besorgniserregend: In den 1970er Jahren lag die Häufigkeit bei etwa 8 Prozent, heute bei über 40 Prozent. Auch wenn sich die Messmethoden verändert haben – der Trend ist eindeutig.
Ursachen: Ernährung, Plaque, Biofilm
Die Hauptursache: Bakterieller Biofilm
Auf Ihren Zähnen bildet sich ständig ein weicher, klebriger Belag aus Bakterien – die sogenannte Plaque. Bei unzureichender Mundhygiene vermehren sich diese Bakterien und produzieren Giftstoffe (Toxine) und abbauende Enzyme. Das Immunsystem reagiert mit einer Entzündung: Das Zahnfleisch schwillt an, wird stärker durchblutet und blutet leichter.
Nach etwa 48 Stunden ohne Reinigung beginnt die Plaque zu verhärten und wird zu Zahnstein. Dieser raue Belag bietet weiteren Bakterien ideale Siedlungsflächen und lässt sich nicht mehr mit der Zahnbürste entfernen – nur noch professionell beim Zahnarzt.
Unser Essen hat wesentlichen Einfluss auf das Zahnfleisch
Lange galt die Gleichung: Mehr Plaque = mehr Entzündung. Doch bahnbrechende Forschung der Universität Freiburg hat dieses Bild grundlegend verändert.
Die Freiburger Studie 2019: Forscher um Dr. Johan Woelber teilten 30 Patienten mit Gingivitis in zwei Gruppen. Beide Gruppen verzichteten auf Zahnseide und Interdentalbürsten. Die Testgruppe stellte ihre Ernährung um: weniger verarbeitete Kohlenhydrate und Zucker, dafür mehr Omega-3-Fettsäuren, Vitamin C und D, Antioxidantien und Ballaststoffe.
Das Ergebnis überraschte selbst die Wissenschaftler: Nach vier Wochen hatten beide Gruppen identische Plaquewerte – aber die Ernährungsgruppe zeigte eine signifikante Reduktion der Zahnfleischblutung. Der Gingiva-Index sank von 1,04 auf 0,61 – eine Verbesserung um über 40 Prozent, ohne dass sich an der Plaquemenge etwas geändert hatte.
Was bedeutet das? Zucker und verarbeitete Kohlenhydrate fördern Entzündungen im gesamten Körper – auch im Zahnfleisch. Eine zuckerreiche Ernährung verstärkt die Entzündungsreaktion auf bakterielle Beläge, selbst wenn die Plaquemenge gleich bleibt. Umgekehrt kann eine anti-inflammatorische Ernährung die Entzündung reduzieren.
Eine Metaanalyse aus dem Jahr 2023 bestätigte: Die Reduktion von freiem Zucker senkt nachweislich die Zahnfleischentzündung. Die Autoren fanden in 9 kontrollierten Studien mit 209 Teilnehmern einen klaren Zusammenhang zwischen Zuckerrestriktion und verbesserter Gingivitis.
Die praktische Konsequenz: Zahnfleischgesundheit ist nicht nur eine Frage der Zahnbürste. Was Sie essen, beeinflusst direkt, wie stark Ihr Zahnfleisch auf bakterielle Beläge reagiert.
Weitere Risikofaktoren
Neben Plaque und Ernährung gibt es weitere Faktoren, die eine Gingivitis begünstigen oder verstärken:
Hormonelle Veränderungen: In der Pubertät, Schwangerschaft oder den Wechseljahren reagiert das Zahnfleisch empfindlicher auf bakterielle Reize. Die sogenannte Schwangerschaftsgingivitis ist so häufig, dass sie als eigene Kategorie gilt.
Rauchen: Tabakkonsum verschlechtert die Durchblutung des Zahnfleisches und schwächt die Immunabwehr. Paradoxerweise bluten Raucher oft weniger, obwohl ihre Gingivitis stärker ausgeprägt ist – das Fehlen von Blutung ist hier trügerisch.
Medikamente: Bestimmte Arzneimittel können Zahnfleischwucherungen auslösen, etwa Medikamente gegen Bluthochdruck (Nifedipin), Epilepsie (Phenytoin) oder Immunsuppressiva nach Organtransplantation (Cyclosporin).
Systemische Erkrankungen: Diabetes, HIV-Infektion und andere Erkrankungen, die das Immunsystem schwächen, erhöhen das Gingivitis-Risiko erheblich.
Lokale Faktoren: Überstehende Füllungs- oder Kronenränder, schlecht sitzender Zahnersatz und eingepresste Nahrungsreste schaffen Schmutznischen, in denen sich Bakterien besonders gut vermehren können.
Woran erkenne ich eine Zahnfleischentzündung?
Die klassischen Warnsignale
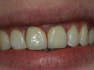
Zahnfleischbluten: Das wichtigste und häufigste Symptom. Gesundes Zahnfleisch blutet nicht – weder beim Zähneputzen noch bei der Verwendung von Zahnseide. Jede Blutung ist ein Zeichen dafür, dass etwas nicht stimmt.
Rötung: Gesundes Zahnfleisch ist blassrosa. Entzündetes Zahnfleisch wird dunkelrot bis bläulich-livide.
Schwellung: Das Zahnfleisch erscheint aufgedunsen, die normalerweise spitz zulaufenden Zahnfleischpapillen zwischen den Zähnen werden abgerundet.
Empfindlichkeit: Das Zahnfleisch reagiert empfindlich auf Berührung, Temperaturunterschiede oder bestimmte Speisen.
Mundgeruch: Die Bakterien im Biofilm produzieren schwefelhaltige Verbindungen, die unangenehm riechen.
Selbsttest: Habe ich eine Gingivitis?
Beantworten Sie diese Fragen ehrlich:
- Blutet Ihr Zahnfleisch beim Zähneputzen oder bei der Verwendung von Zahnseide?
- Ist Ihr Zahnfleisch an manchen Stellen gerötet oder geschwollen?
- Haben Sie gelegentlich einen unangenehmen Geschmack im Mund?
- Hat Ihnen jemand schon einmal Mundgeruch bescheinigt?
- Fühlt sich Ihr Zahnfleisch beim Berühren empfindlich an?
Wenn Sie eine oder mehrere Fragen mit „Ja“ beantwortet haben, sollten Sie Ihren Zahnarzt aufsuchen. Eine Gingivitis lässt sich im Frühstadium sehr gut behandeln – je länger Sie warten, desto aufwendiger wird die Therapie.
Was viele nicht bemerken
Ein tückischer Aspekt der Gingivitis: Sie verursacht nur bei Zahnfleischverletzungen Schmerzen. Anders als Karies, die sich irgendwann durch Zahnschmerzen bemerkbar macht, kann eine Zahnfleischentzündung jahrelang unbemerkt fortschreiten. Viele Patienten gewöhnen sich an das gelegentliche Zahnfleischbluten und halten es für normal – ein fataler Irrtum.
Von der Gingivitis zur Parodontitis: Ein schleichender Übergang
Die Gingivitis ist die Vorstufe der Parodontitis. Wenn die Entzündung über längere Zeit bestehen bleibt, kann sie auf tiefere Strukturen übergreifen:
Schritt 1 – Gingivitis: Die Entzündung ist auf das Zahnfleisch beschränkt. Kein Knochenabbau, vollständig reversibel.
Schritt 2 – Beginnende Taschenbildung: Das entzündete Zahnfleisch löst sich vom Zahn. Es entstehen Zahnfleischtaschen, in die Bakterien eindringen.
Schritt 3 – Parodontitis: Die Entzündung erreicht den Kieferknochen. Der Knochen baut sich ab, die Zähne verlieren ihren Halt. Dieser Prozess ist nicht mehr vollständig umkehrbar.
Schritt 4 – Fortgeschrittene Parodontitis: Massive Knochenzerstörung, lockere Zähne, Zahnverlust.
Der Übergang von der Gingivitis zur Parodontitis erfolgt nicht bei jedem – aber das Risiko steigt mit der Dauer der unbehandelten Entzündung. Genetische Faktoren spielen ebenfalls eine Rolle: Manche Menschen entwickeln trotz jahrelanger Gingivitis keine Parodontitis, während andere bereits nach kurzer Zeit Knochenabbau zeigen.
Die Botschaft ist klar: Jede Parodontitis beginnt als Gingivitis. Wer die Zahnfleischentzündung frühzeitig behandelt, kann die Parodontitis verhindern.
Zahnfleischentzündung: der ganze Körper reagiert
Entzündung ist nicht lokal begrenzt
Lange galten Zahnfleischentzündungen als lokales Problem. Doch wissenschaftliche Studien der letzten Jahre haben ein anderes Bild gezeichnet: Die Entzündung im Mund beeinflusst den gesamten Körper.
Der Mechanismus: Entzündetes Zahnfleisch produziert große Mengen an Entzündungsbotenstoffen (Zytokinen) wie Interleukin-6 (IL-6), Interleukin-1β (IL-1β) und Tumornekrosefaktor-alpha (TNF-α). Diese Botenstoffe gelangen über das stark durchblutete Zahnfleisch in den Kreislauf. In der Leber regen sie die Produktion des C-reaktiven Proteins (CRP) an – eines wichtigen Markers für systemische Entzündung.
Entzündungswerte im Blut steigen signifikant an
Mehrere Studientypen haben den Zusammenhang nachgewiesen:
Beobachtungsstudien: Eine Untersuchung mit Jugendlichen zeigte: 15-Jährige mit Gingivitis haben ein 2,17-fach erhöhtes Risiko für krankhaft erhöhte Entzündungswerte im Blut.
Experimentelle Studien: 37 gesunde junge Erwachsene verzichteten drei Wochen lang komplett auf Mundhygiene und entwickelten gezielt eine Gingivitis. Die Ergebnisse waren eindeutig: Das Zahnfleischbluten nahm um 34 Prozent zu, das CRP (C-reaktives Protein) im Blut stieg signifikant an, und Immunzellen zeigten Veränderungen, die typisch für Gefäßverkalkung sind. Als die Teilnehmer wieder mit der Zahnpflege begannen, normalisierten sich alle Werte.
Behandlungsstudien: Bei Frauen, die eine professionelle Zahnreinigung erhielten, sanken die erhöhten Entzündungswerte im Blut innerhalb von drei bis sechs Monaten auf normale Werte.
| Blutwert | Bei gesundem Zahnfleisch | Bei Gingivitis | Bedeutung |
|---|---|---|---|
| CRP | ~0,5 mg/L | 2,5–7,6 mg/L | Risikomarker für Herzinfarkt und Schlaganfall |
| Interleukin-6 | Normalwert | +12,5 Einheiten höher | Regt CRP-Produktion in der Leber an |
| sICAM-1 | Normalwert | Deutlich erhöht | Zeigt Entzündung der Gefäßwände an |
Zur Einordnung: CRP-Werte unter 1 mg/L bedeuten niedriges kardiovaskuläres Risiko, 1–3 mg/L mittleres Risiko, über 3 mg/L hohes Risiko. Bei Gingivitis-Patienten wurden durchschnittlich 2,5 mg/L gemessen – das entspricht dem mittleren bis hohen Risikobereich.
Die Verbindung zu Herz-Kreislauf-Erkrankungen
Die American Heart Association bestätigte 2012 in einem wissenschaftlichen Statement: Es gibt einen Zusammenhang zwischen Zahnfleisch-/Zahnbetterkrankungen und erhöhten Entzündungswerten sowie deren Verbindung zu Gefäßverkalkung.
Die erhöhten Entzündungswerte bei Gingivitis sind dieselben, die bei der Entstehung von Arteriosklerose eine Rolle spielen. Interleukin-6 und CRP schädigen die Innenwände der Blutgefäße, aktivierte Immunzellen aus dem Zahnfleisch bilden Schaumzellen – die Grundlage für Gefäßplaques.
Wichtig: Noch ist nicht abschließend bewiesen, dass die Behandlung von Zahnfleischentzündung Herzinfarkte verhindert. Aber die Studien zeigen eindeutig: Zahnfleischbehandlung senkt die Entzündungswerte im Blut.
Gefährliche Wechselwirkung mit Diabetes
Zwischen Diabetes und Zahnfleischentzündung besteht eine wechselseitige Beziehung:
Diabetes → Gingivitis: Diabetiker haben ein erhöhtes Risiko für Zahnfleischentzündungen. Hohe Blutzuckerwerte schwächen die Immunabwehr, Wunden heilen schlechter, und die Durchblutung ist beeinträchtigt.
Gingivitis → Diabetes: Umgekehrt können die Entzündungsstoffe aus dem Zahnfleisch die Insulinresistenz erhöhen und die Blutzuckereinstellung verschlechtern.
Studien zeigen: Die Behandlung von Zahnfleischentzündungen kann den HbA1c-Wert um etwa 0,4 Prozentpunkte senken – vergleichbar mit der Wirkung eines Diabetes-Medikaments.
Wann muss ich zum Zahnarzt?
Suchen Sie Ihren Zahnarzt auf, wenn:
- Das Zahnfleischbluten trotz verbesserter Mundhygiene nach einer Woche nicht zurückgeht
- Das Zahnfleisch stark geschwollen oder schmerzhaft ist
- Sie Eiter am Zahnfleischrand bemerken
- Zähne sich locker anfühlen
- Ihr Zahnfleisch sich deutlich zurückgezogen hat
Behandlung der Zahnfleischentzündung bringt Heilung
Die Therapie der Gingivitis folgt einem klaren Stufenkonzept: professionelle Zahnreinigung (PZR), optimierte häusliche Mundhygiene, Beseitigung lokaler Reizfaktoren und unterstützende Ernährungsumstellung. In den meisten Fällen genügt bereits eine einzige professionelle Reinigung kombiniert mit verbesserter Pflege zu Hause, um die Entzündung vollständig auszuheilen.
Die Details zur Behandlung – von der richtigen Putztechnik bis zur anti-inflammatorischen Ernährung nach dem Freiburger Modell – finden Sie im Kapitel [Therapie der Gingivitis in Arbeit].
Häufig gestellte Fragen: FAQs zur Gingivitis
Ist Zahnfleischbluten normal?
Nein. Gesundes Zahnfleisch blutet nie – weder beim Zähneputzen noch bei der Verwendung von Zahnseide. Jede Blutung ist ein Zeichen für eine Entzündung und sollte ernst genommen werden.
Muss ich zum Zahnarzt, wenn mein Zahnfleisch nur manchmal blutet?
Ja. Auch gelegentliches Zahnfleischbluten zeigt an, dass eine Entzündung vorliegt. Je früher Sie handeln, desto einfacher ist die Behandlung.
Wie lange dauert es, bis eine Gingivitis ausheilt?
Bei konsequenter Behandlung und verbesserter Mundhygiene heilt eine Gingivitis in der Regel innerhalb von zwei bis vier Wochen vollständig aus.
Was ist der Unterschied zwischen Gingivitis und Parodontitis?
Bei Gingivitis ist nur das Zahnfleisch entzündet – der Knochen ist nicht betroffen, und die Erkrankung ist vollständig reversibel. Bei Parodontitis hat die Entzündung den Kieferknochen erreicht, es kommt zu Knochenabbau, der nicht mehr rückgängig zu machen ist. Ein Patient mit Parodontitis bleibt lebenslang ein Parodontitis-Patient und benötigt dauerhaft Nachsorge.
Hilft eine antibakterielle Mundspülung gegen Gingivitis?
Mundspülungen mit Chlorhexidin können kurzfristig helfen, sind aber kein Ersatz für mechanische Reinigung. Sie sollten nur zeitlich begrenzt eingesetzt werden, da sie bei Dauergebrauch Verfärbungen und Geschmacksstörungen verursachen können.
Ist Gingivitis ansteckend?
Die Bakterien, die Gingivitis verursachen, können theoretisch übertragen werden – etwa beim Küssen oder durch gemeinsam benutzte Zahnbürsten. Ob sich daraus eine Erkrankung entwickelt, hängt jedoch von vielen Faktoren ab, vor allem von der eigenen Mundhygiene und dem Immunsystem.
Kann ich durch Ernährung meine Zahnfleischgesundheit verbessern?
Ja. Aktuelle Studien zeigen, dass eine zuckerarme, anti-inflammatorische Ernährung die Zahnfleischentzündung reduzieren kann – selbst bei gleichbleibender Plaquemenge. Eine mediterrane Ernährung mit viel Gemüse, Fisch, Nüssen und wenig Zucker ist ideal.
Wie oft sollte ich zur professionellen Zahnreinigung?
Bei gesundem Zahnfleisch ein- bis zweimal jährlich. Bei erhöhtem Risiko (Diabetes, Rauchen, Neigung zu Zahnfleischproblemen) empfehlen sich drei- bis viermal jährlich. Ihr Zahnarzt kann Sie individuell beraten.
implantate.com-Fazit:
Die Entzündung im Mund beeinflusst den gesamten Körper – gesundes Zahnfleisch ist Teil Ihrer Gesamtgesundheit.. ehmen Sie Zahnfleischbluten ernst. Gingivitis ist die häufigste Erkrankung überhaupt – 95 Prozent der Erwachsenen sind betroffen. Doch sie ist auch vollständig heilbar, wenn Sie rechtzeitig handeln.
Institut der Deutschen Zahnärzte (IDZ). Deutsche Mundgesundheitsstudien (DMS IV, V). Deutscher Ärzte-Verlag.
Barbour SE, Nakashima K, Zhang JB, et al. Excess dietary sugar and periodontal inflammation: a narrative review. BDJ Open. 2024;10:85.






