Lexikon
Zahnfilm (Einzelzahnröntgen)
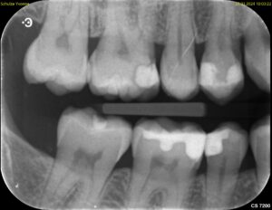
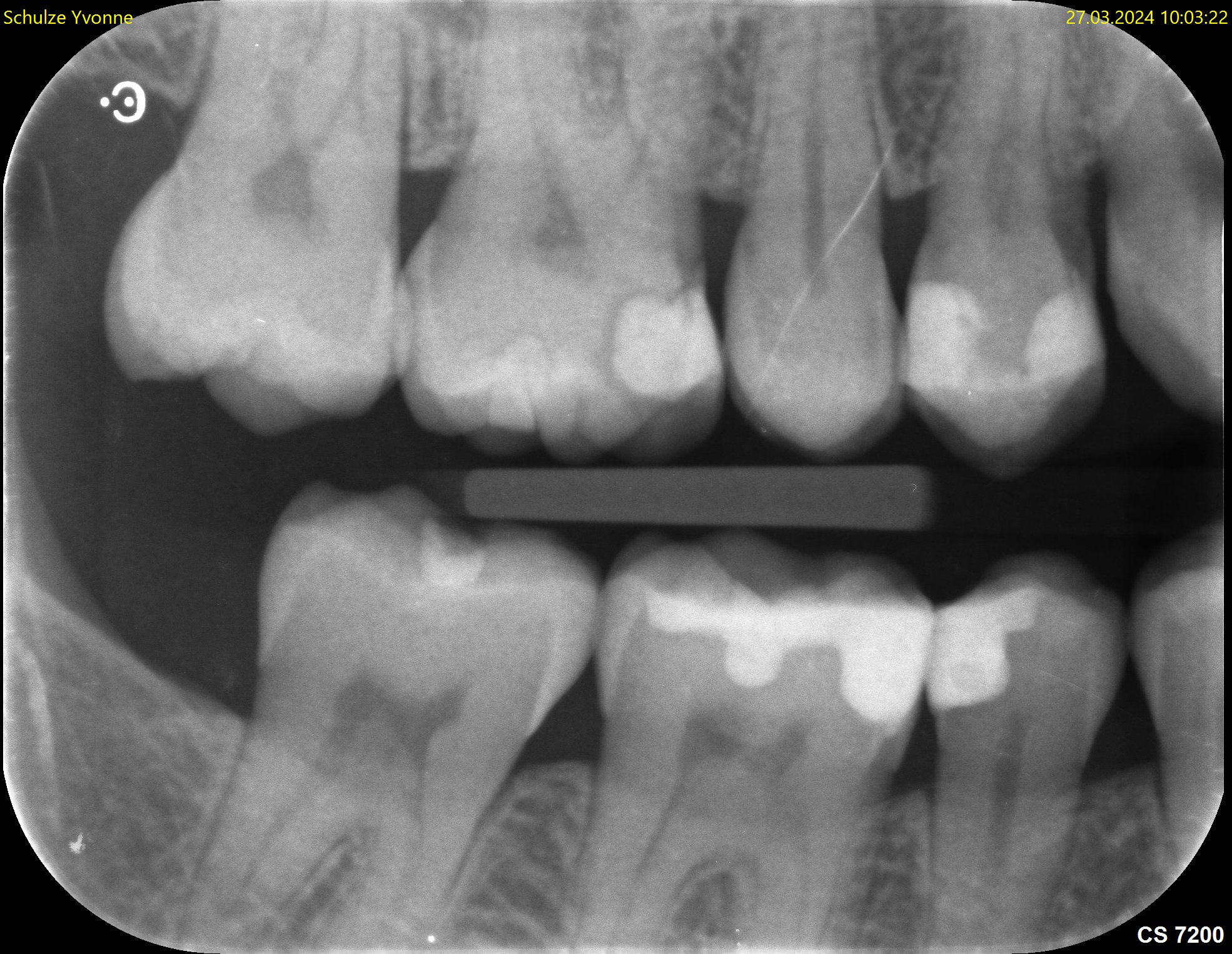
Der Zahnfilm ist eine kleine Röntgenaufnahme, die nur einen begrenzten Bereich des Kiefers zeigt – in der Regel ein bis drei Zähne mit den umgebenden Strukturen. Der Röntgenfilm oder digitale Sensor (etwa 2 × 3 cm oder 3 × 4 cm) wird dabei direkt in den Mund gelegt und vom Patienten mit dem Finger oder einer Halterung in Position gehalten.

Digitale Zahnfilme mittlerweile verbreitet
Die Aufnahme dauert nur Sekundenbruchteile. Da der Sensor nah am Zahn liegt und der Röntgenstrahl gezielt auf einen kleinen Bereich gerichtet ist, liefert der Zahnfilm eine deutlich höhere Detailschärfe als das OPG (Orthopantomogramm). Feine Strukturen wie beginnende Karies, Wurzelkanäle oder der exakte Verlauf des Knochens an einzelnen Zähnen lassen sich präziser beurteilen.
Implantate, Karies, Wurzelentzündungen: im Zahnfilm sicher zu beurteilen
Typische Einsatzgebiete sind die Kariesdiagnostik (besonders die sogenannten Bissflügelaufnahmen für die Zahnzwischenräume),

Die Beurteilung von Wurzelkanalfüllungen, der Verdacht auf Wurzelspitzenentzündungen, die Kontrolle nach Zahnentfernungen oder Implantationen sowie die genaue Darstellung des Knochenabbaus bei Parodontitis. Ein vollständiger Röntgenstatus aus 10 bis 14 Zahnfilmen zeigt das gesamte Gebiss in hoher Auflösung, wird aber wegen des höheren Aufwands nicht routinemäßig angefertigt.

Strahlenbelastung digital gering
Die Strahlenbelastung eines digitalen Zahnfilms liegt bei etwa 1–5 Mikrosievert – weniger als ein Zehntel eines OPG. Bei einem vollständigen Röntgenstatus aus 14 Aufnahmen summiert sich die Dosis auf etwa 15–70 Mikrosievert, also ungefähr so viel wie ein OPG.
Nur ein Kieferabschnitt wird abgebildet
Der Nachteil: Jede Aufnahme zeigt nur einen kleinen Ausschnitt. Für einen Überblick über beide Kiefer ist das OPG besser geeignet. In der Praxis ergänzen sich beide Verfahren – das OPG liefert die Übersicht, der Zahnfilm klärt Details.
Bei Detailfragen kann das 3D-Röntgen (DVT) noch mehr Informationen liefern.
Zahnfilm-Röntgen ist Kassenleistung
Die Kosten übernehmen die gesetzlichen Krankenkassen bei medizinischer Notwendigkeit.

